Wykwalifikowany lekarz ortopeda
Kierownik Oddziału Urazowo-Ortopedycznego WSZ Leszno
Gabinet prywatny:
Marcinkowskiego 12, 64-100 Leszno
maciej.manczak@wp.pl

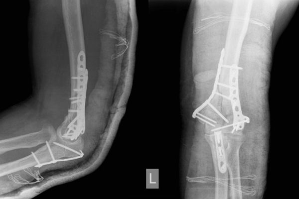
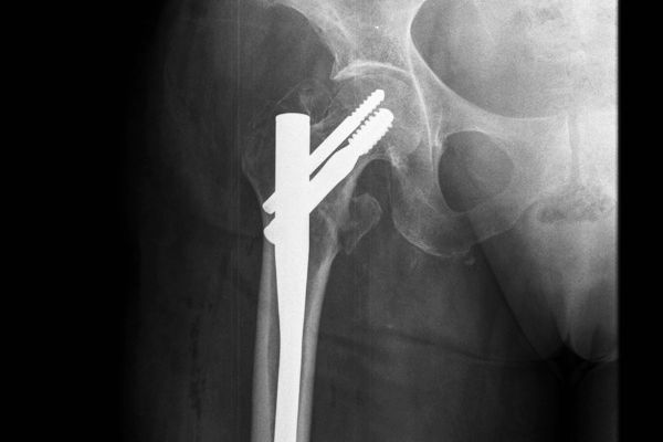
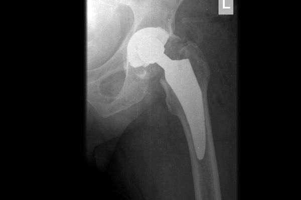
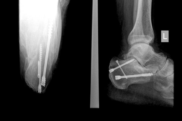
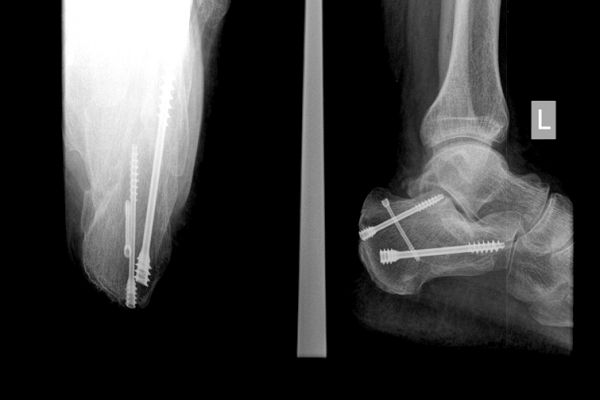
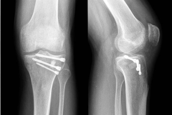
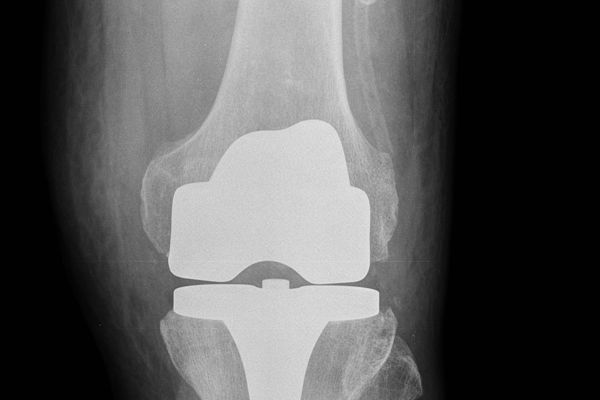
Gabinet ortopedyczny prowadzony przeze mnie specjalizuje się w leczeniu schorzeń i urazów kończyn górnych i dolnych. Zajmuję się leczeniem choroby zwyrodnieniowej stawu biodrowego i kolanowego, uszkodzeń wewnętrznych stawu kolanowego i barkowego, złamań w obrębie kończyn górnych i dolnych oraz urazów ścięgien i mięśni kończyn górnych i dolnych. Ponadto wykonuję diagnostykę USG narządu ruchu i badanie preluksacyjne (USG bioderek niemowląt). Leczę również neuropatie uciskowe kończyn (zespół kanału nadgarstka, rowka nerwu łokciowego, kanału Guyona) oraz uszkodzenia wewnętrzne stawów kończyn górnych i dolnych. Zapraszam do mojego gabinetu, gdzie dobiorę odpowiednie do schorzenia metody leczenia i zakwalifikuję do ewentualnego leczenia operacyjnego. W celu umówienia się na wizytę proszę o kontakt telefoniczny z rejestracją gabinetu ortopedycznego w Lesznie.
Ta strona używa plików Cookies. Dowiedz się więcej o celu ich używania i możliwości zmiany ustawień Cookies w przeglądarce.